Age-Related Macular Degeneration (AMD)
Age-related macular degeneration (AMD) is a disease of aging that is:
- Common
- Gradual
- Progressive
- Painless
- Characterized by deterioration of the macula, a small area in the center of the retina
When unmonitored and untreated, AMD results in vision loss, especially for daily tasks like driving, reading, etc. With appropriate monitoring and timely treatment, most patients can maintain vision for years to come.
Peripheral vision is usually not affected by macular degeneration and often, this illness will go unnoticed until a patient engages in a task such as driving or reading, in which central vision is crucial. As the term “degeneration” implies, the illness becomes more noticeable over time and tends to get worse with or without treatment. Macular degeneration typically affects adults over 65 and the main risk factors for the disease are increasing age and genetics (family history of macular degeneration). Smoking, high cholesterol and hypertension are also risk factors. This disease does not cause total blindness and most macular degeneration patients can see well enough to care for themselves.
The Macula
The macula is the center region of the retina. The macula is responsible for high detail vision, central vision, reading, etc. The rest of the retina is responsible for peripheral vision. AMD affects the macula, and in turn, results in decreased vision for tasks like reading, driving, recognizing faces, etc.

Symptoms of Macular Degeneration
Being aware of the common signs of AMD is necessary so that you can seek treatment before the disease progresses. Patients who are diagnosed with age related macular degeneration may experience one or more symptoms, such as the following:
- Wave or straight lines
- Dark spots in their vision
- Blurry or distorted vision
Because symptoms of macular degeneration often occurs in one eye before the other, a patient may only notice the symptoms upon covering one of their eyes. To test for Macular degeneration, your eye care provider may use an Amsler grid macular degeneration test (a test that can also be done at home by the patient to monitor symptoms).
Individuals who are older in age, female, Caucasian, have a history of smoking, high cholesterol, or high blood pressure, or who have a family history of AMD may be at a higher risk of AMD.
Macular degeneration is a serious eye condition that should not be ignored. If you suspect even minor symptoms, you should call an eye doctor who is familiar with macular degeneration and treatments for it. Describe any symptoms that you see to an eye doctor and they will conduct additional tests if necessary. They will do a complete exam to see what symptoms you have and treatments for your condition.
Types of Macular Degeneration
Little is known about the causes of macular degeneration, except that it pertains to aging in specific retinal layers. Macular degeneration occurs in two forms: exudative (“wet”) and atrophic (“dry”). Most cases, 90% in fact, are dry– the less severe form.
- Dry Age-Related Macular Degeneration (Dry AMD or Atrophic AMD)
Dry AMD is a milder, earlier, more common form of AMD. Age-related deposits accumulate in the retina, causing mild to moderate vision symptoms. In late stages, tissue loss (called “atrophy” or “geographic atrophy”) can occur, resulting in severe vision loss. The dry form can convert to the wet form at any time.

- Wet Age-Related Macular Degeneration (Wet AMD or Exudative AMD)
Wet AMD has all the features of dry AMD, as well as the creation of new blood vessels that grow under and/or into the retina. This abnormal blood vessel growth is called “choroidal neovascularization.” The abnormal blood vessels leak fluid or blood into the retina, thus “wet” AMD Vision decrease may occur gradually or it can occur suddenly, with potentially vision loss

Treatment from an AMD Specialist
Diagnosing AMD
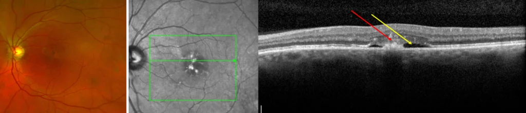
A doctor may use multiple methods in order to diagnose AMD, such as a dilated retinal examination or an optical coherence tomography (OCT) scan. An OCT scan is a painless photograph that provides a cross-sectional scan through the macula so that microscopic details of the macula can be discerned.

In some patients, a fluorescein angiography may be used. In this procedure, a dye is injected into the arm, from which to travels through the blood to the eye. Photographs are taken of the eye which map out all the blood vessels and blood flow in the retina. This test identifies areas of blood flow loss as well as areas of new blood vessel grown (neovascularization).

Treating AMD
As life expectancy increases macular degeneration is becoming a greater health concern and more medical researchers are devoting more energy to treating this illness. Unfortunately, macular degeneration has few treatment options. However, the Age-Related Eye Disease Study (AREDS 2) shows that anti-oxidants and carotenoids such as Vitamins C, Vitamin E, Zeaxanthin, Lutein and minerals such as copper and zinc, help slow the disease’s progression when it reaches the intermediate phase (AREDS 2 eye vitamin).
- Treating Dry AMD
Patients with dry AMD are monitored for conversion to wet AMD (for which there is treatment). AREDS2 vitamins (over the counter) may reduce progression of dry AMD and thus may be recommended. An “Amsler grid” is provided to allow patients to monitor for subtle vision changes between appointments. If there is geographic atrophy present, treatments are now available to slow down the progression of geographic atrophy (Syfovre, Izervay).
- Treating Wet AMD
For wet Macular degeneration, laser photocoagulation or photodynamic therapy (PDT) may be an option. In this particular treatment, an intense light is used to focus on and close areas of leakage that are linked to wet macular degeneration. Most patients are not a candidate for laser or PDT unless the leakage is outside the center of the macula or the leakage is unresponsive to the standard medicine injections (discussed momentarily). In cases where the leakage is within the center of vision, patients may consider another treatment. One approach may be the new class of drugs known as anti-VEGF (anti vascular endothelial growth factor) that are injected into the vitreous cavity. These drugs include:
-
Wet: Lucentis, Avastin, Eylea, Eylea HD, Pavblu, Vabysmo,
-
Dry (Geographic Atrophy): Syfovre, Izervay
The injections are given into the eye (intravitreal injections) in the office, after drops are given to numb and clean the ocular surface. The medications last several weeks in the eye. Some patients require injections every month to control the disease, while others require injections less often, and yet others are able to eventually stop injections and monitor for recurrence. The treatment is individualized to each patient’s disease and response to treatment. There are new drugs in the research pipeline that may last longer.
Injecting these medicines into the center of the eye helps reduce the prominence of actively growing blood vessels in the outer retina. This in turn can reduce the risk of further vision loss and in some patients, actually improve their vision. All forms of wet macular degeneration treatment are most effective when applied early on in the disease process. The leakage is easiest to target when localized, as in the early stages of macular degeneration. Therefore early diagnosis is key to managing and preventing the progression of this disease.
Contact Our AMD Specialist Today
If you feel you have taken the Amsler grid test and are concerned about your results, or have other reasons to suspect you are suffering from macular degeneration, contact Retina Associates of Orange County today. Retina Associates of Orange County‘s qualified retinal specialists can help restore your sight.
As a specialist who has experience treating age related macular degeneration AMD can discuss your situation and your treatment with you. Identifying the early signs and symptoms of AMD is essential so that it can be managed before it progresses to a more severe stage. The more it progresses, the more difficult it will be to treat.
Common Myths About Senior Vision Care
An ophthalmologist can help with age-related macular degeneration, but many misconceptions about senior vision care still persist. At Retina Associates of Orange County, we pride ourselves on our skilled team of ophthalmologists, and it’s earned us national recognition. We’re devoted to advancing patient care and retinal treatment technologies, but it all starts with keeping our patients informed. Read on to debunk some common myths, and contact us today to get started with your treatment.
Myth 1: Vision Loss Is An Inevitable Part Of Aging
While changes in vision are common with age, significant vision loss is not a normal part of aging. Many conditions that affect seniors’ vision, such as cataracts and changes in the retina, can often be treated or managed. Regular eye exams are crucial to diagnosing issues early when they are most treatable.
Myth 2: Reading In Low Light Worsens Your Vision
Many believe that reading in dim light can exacerbate vision problems. However, while reading in low light might strain your eyes and cause temporary discomfort, it does not cause lasting damage to your vision. It’s always more comfortable to read with sufficient lighting to avoid eye strain.
Myth 3: There’s No Need For Regular Eye Exams If You See Well
Even if you have not noticed any problems with your vision, regular eye exams are essential. Many eye diseases that commonly affect seniors, such as glaucoma and diabetic eye disease, can progress without noticeable symptoms in their early stages. Regular check-ups ensure that any changes in eye health are caught early.
Myth 4: Eye Exercises Can Prevent Vision Decline
There is no scientific evidence to support the idea that eye exercises can prevent or reduce vision decline related to age. While exercises can help manage specific eye conditions, they cannot stop the natural changes in the eye that occur with aging.
Myth 5: Cataract Surgery Is Dangerous And Ineffective
Cataract surgery is one of the most common and successful medical procedures performed today. It is safe and effective, with a high success rate. Modern techniques and technologies have made cataract surgery a routine procedure that significantly improves vision in the vast majority of cases.
Myth 6: Dry Eyes Are Just A Minor Annoyance
While dry eyes can be more common as people age and might seem like just a nuisance, they can seriously affect vision and quality of life. Dry eyes can lead to more severe conditions if not treated properly, including infections and damage to the eye surface. It’s important to consult with an eye care professional if you regularly experience dry eyes.
Myth 7: It’s Too Late To Improve Vision Once You Are Older
Many seniors believe that once their vision starts declining, nothing can be done to improve it. However, with the right treatment and interventions, it is possible to restore or enhance vision – and in the case of age-related macular degeneration, you can take important steps to slow down your vision loss. Technologies in eyeglasses and contact lenses, as well as surgical options, can significantly improve vision quality even later in life.
Myth 8: Wearing Glasses Makes Your Eyesight Worse Over Time
Wearing the correct prescription glasses or contact lenses helps you see better but does not make your natural eyesight worse. Some people may feel more dependent on their corrective lenses as they wear them regularly, but this is because they become accustomed to clear vision with their glasses or contacts.
Contact Us Today
At Retina Associates of Orange County, we believe in empowering our patients with accurate information and the best eye care services. If you have concerns about your vision or have been avoiding eye care based on these or other myths, we encourage you to schedule an appointment with us. Get in touch with our team today, and see how we can help you with age-related macular degeneration.
Newport Beach Macular Degeneration Doctor | 5 Facts About Macular Degeneration
Posted on Art SarnoTrustindex verifies that the original source of the review is Google. Cannot say enough about the level of expertise and competency of Dr Hwang and his staff. He saved my vision by repairing a detached retina in my right eye and has been providing incredible care in treating my macular condition and retaining my vision over the years. He is caring and compassionate with a true love for his practice. I am blessed to be one of his patients!Posted on Daniel JurkovichTrustindex verifies that the original source of the review is Google. Check up on visual issue went perfectly. Great staff as well.Posted on ken hsuTrustindex verifies that the original source of the review is Google. Professional and thoughtful doctor, caring patient as a family member.Posted on Matt BanksTrustindex verifies that the original source of the review is Google. Great service. Very satisfied.Posted on Debra NybergTrustindex verifies that the original source of the review is Google. I have tremendous anxiety prior to my intraocular injections to manage my wet AMD, but Dr. Hwang makes the process as quick and painless as possible. I wouldn't trust my eye health to anyone else. He's the best.Posted on Carol GreenTrustindex verifies that the original source of the review is Google. The receptionists are very courteous. Appointments are always on time. Dr. Hwang answers all questions and explains things to you.Posted on Virginia WilliamsTrustindex verifies that the original source of the review is Google. Always good service. Dr. Gupta is first rate.

