What is the Retina?
- If the eye were a camera, the retina would be the film of that camera
- The retina is a thin sheet of nerve cells that lines the inside back wall of the eye
- Light travels through the eye and ultimately reaches photoreceptors, the light-sensitive cells in the retina
- The signal from the photoreceptors then travel along the optic nerve to the brain, where the signals are interpreted as vision
What is the Macula?
- The macula is the center region of the retina
- The macula is responsible for high detail vision, central vision, reading, etc. The rest of the retina is responsible for peripheral vision.
- AMD affects the macula, and in turn, results in decreased vision for tasks like reading, driving, recognizing faces, etc.

What is a Macular Hole?
A full-thickness defect (hole) in the macular region of the retina

How does a macular hole affect vision?
- Decrease in central vision
- Dark spot in the middle of the vision
- Missing letters when reading a word
What causes a macular hole?
- Most macular holes are due to abnormalities in the aging process of the eye, whereby tractional forces pull on the fovea at the center of the macula and allow a hole to develop
- Macular holes may also occur in eyes after trauma
How is a macular hole treated?
- Full thickness macular holes may rarely close on their own. In very small macular holes with specific clinical features, a trial of eye drops may help facilitate closure.
- Most full thickness macular holes, however, require surgery for closure
What is macular hole surgery?
- Pars plana vitrectomy
- Outpatient, day surgery
- Micro-incisional surgery whereby the microscopic tissues creating traction on the retina are peeled gently from the fovea and removed. This relieves traction on the hole
- A gas bubble is placed in the eye and patients typically maintain a face down position for several days to help support macular hole closure
- Vision is poor through a gas bubble, but the gas will dissipate on its own, usually over 2-3 weeks (possibly longer if a longer acting gas bubble is used)
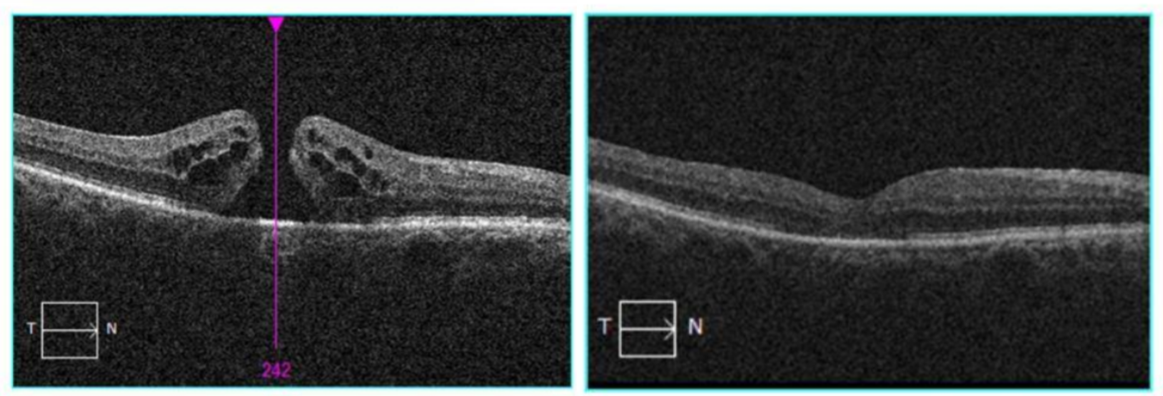
Left image: An optical coherence tomography (OCT) scan reveals a full thickness defect in the center due to macular hole. The patient’s vision is 20/200. Right image: An OCT image after surgical repair of the macular hole in the same patient shows closure of the macular hole. Vision improved to 20/40.
Request Appointment
Areas of Expertise
Patient Reviews
Posted on Art SarnoTrustindex verifies that the original source of the review is Google. Cannot say enough about the level of expertise and competency of Dr Hwang and his staff. He saved my vision by repairing a detached retina in my right eye and has been providing incredible care in treating my macular condition and retaining my vision over the years. He is caring and compassionate with a true love for his practice. I am blessed to be one of his patients!Posted on Daniel JurkovichTrustindex verifies that the original source of the review is Google. Check up on visual issue went perfectly. Great staff as well.Posted on ken hsuTrustindex verifies that the original source of the review is Google. Professional and thoughtful doctor, caring patient as a family member.Posted on Matt BanksTrustindex verifies that the original source of the review is Google. Great service. Very satisfied.Posted on Debra NybergTrustindex verifies that the original source of the review is Google. I have tremendous anxiety prior to my intraocular injections to manage my wet AMD, but Dr. Hwang makes the process as quick and painless as possible. I wouldn't trust my eye health to anyone else. He's the best.Posted on Carol GreenTrustindex verifies that the original source of the review is Google. The receptionists are very courteous. Appointments are always on time. Dr. Hwang answers all questions and explains things to you.Posted on Virginia WilliamsTrustindex verifies that the original source of the review is Google. Always good service. Dr. Gupta is first rate.

