Age-related macular degeneration (AMD) is a disease of aging that is:
- common
- gradual
- progressive
- painless
- characterized by deterioration of the macula, a small area in the center of the retina
When unmonitored and untreated, AMD results in vision loss, especially for daily tasks like driving, reading, etc. With appropriate monitoring and timely treatment, most patients can maintain vision for years to come.
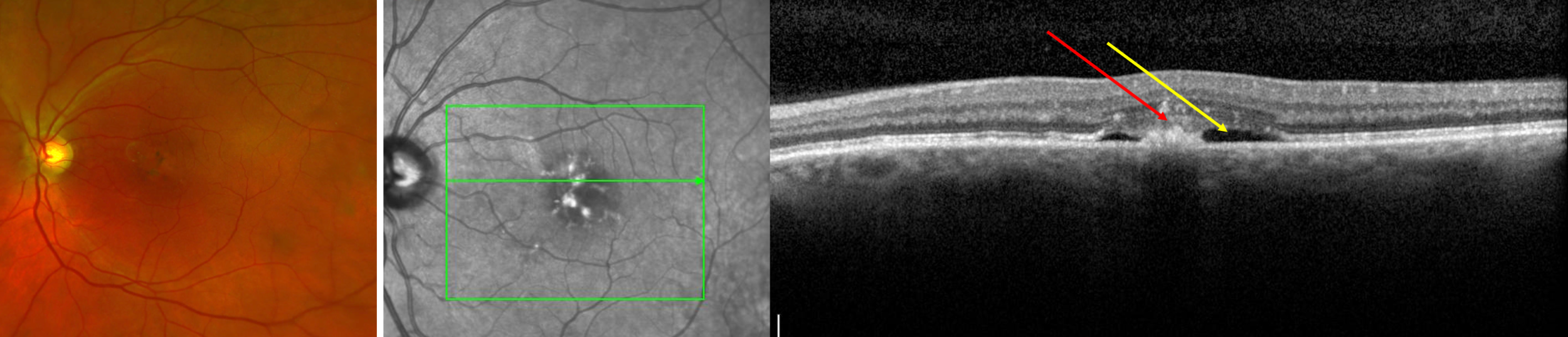
Age-related macular degeneration affects the macula region of the retina.
What is the Retina?
- If the eye were a camera, the retina would be the film of that camera
- The retina is a thin sheet of nerve cells that lines the inside back wall of the eye
- Light travels through the eye and ultimately reaches photoreceptors, the light-sensitive cells in the retina
- The signal from the photoreceptors then travel along the optic nerve to the brain, where the signals are interpreted as vision
What is the Macula?
- The macula is the center region of the retina
- The macula is responsible for high detail vision, central vision, reading, etc. The rest of the retina is responsible for peripheral vision.
- AMD affects the macula, and in turn, results in decreased vision for tasks like reading, driving, recognizing faces, etc.

What are the Symptoms of AMD?
What are the Types of AMD?
There are 2 types of AMD
- Dry age-related macular degeneration (dry AMD)
- Milder, earlier, more common form of AMD
- Age-related deposits accumulate in the retina, causing mild to moderate vision symptoms
- In late stages, tissue loss (called “atrophy” or “geographic atrophy”) can occur, resulting in severe vision loss
- The dry form can convert to the wet form at any time
- Wet age-related macular degeneration (wet AMD, also known as exudative AMD)
- Wet AMD has all the features of dry AMD, plus:
- New blood vessels that grow under and/or into the retina. This abnormal blood vessel growth is called “choroidal neovascularization.”
- The abnormal blood vessels leak fluid or blood into the retina, thus “wet” AMD
- Vision decrease may occur gradually or it can occur suddenly, with potentially vision loss
- Wet AMD has all the features of dry AMD, plus:



What are Risk Factors for AMD?
- Older age
- Female
- Caucasian
- Family history
- Smoking
- High cholesterol
- High blood pressure
How Does My Doctor Diagnose AMD?
- Dilated retinal examination
- Optical coherence tomography (OCT) scan: painless photograph that provides a cross-sectional scan through the macula so that microscopic details of the macula can be discerned

In some patients:
- Fluorescein angiography
- A dye is injected into the arm, from which to travels through the blood to the eye.
- Photographs are taken of the eye which map out all the blood vessels and blood flow in the retina
- This test identifies areas of blood flow loss as well as areas of new blood vessel grown (neovascularization)

How is Dry AMD Treated?
- Patients with dry AMD are monitored for conversion to wet AMD (for which there is treatment, see below).
- AREDS2 vitamins (over the counter) may reduce progression of dry AMD and thus may be recommended
- An “Amsler grid” is provided to allow patients to monitor for subtle vision changes between appointments
- If there is geographic atrophy present, treatments are now available to slow down the progression of geographic atrophy (Syfovre, Izervay)
How is Wet AMD Treated?
- Wet AMD is treated with injections of medications (anti-VEGF medications) that block VEGF.
- VEGF causes abnormal blood vessel growth and blood vessel leakage; thus, anti-VEGF agents reduce leaking from abnormal blood vessels and can even promote regression of abnormal blood vessels
- There are several anti-VEGF medications
- Avastin (bevacizumab)
- Lucentis (ranibizumab)
- Eylea (aflibercept)
- Vabysmo (faricimab), which not only blocks VEGF but also blocks Ang2 which is involved in AMD
- And others
What is it Like to Get Intravitreal Injections in the Eye?
- The injections are given into the eye (intravitreal injections) in the office, after drops are given to numb and clean the ocular surface.
- The medications last several weeks in the eye.
- Some patients require injections every month to control the disease, while others require injections less often, and yet others are able to eventually stop injections and monitor for recurrence.
- The treatment is individualized to each patient’s disease and response to treatment.
- There are new drugs in the research pipeline that may last longer.
Request Appointment
Areas of Expertise
Patient Reviews
Posted on Art SarnoTrustindex verifies that the original source of the review is Google. Cannot say enough about the level of expertise and competency of Dr Hwang and his staff. He saved my vision by repairing a detached retina in my right eye and has been providing incredible care in treating my macular condition and retaining my vision over the years. He is caring and compassionate with a true love for his practice. I am blessed to be one of his patients!Posted on Daniel JurkovichTrustindex verifies that the original source of the review is Google. Check up on visual issue went perfectly. Great staff as well.Posted on ken hsuTrustindex verifies that the original source of the review is Google. Professional and thoughtful doctor, caring patient as a family member.Posted on Matt BanksTrustindex verifies that the original source of the review is Google. Great service. Very satisfied.Posted on Debra NybergTrustindex verifies that the original source of the review is Google. I have tremendous anxiety prior to my intraocular injections to manage my wet AMD, but Dr. Hwang makes the process as quick and painless as possible. I wouldn't trust my eye health to anyone else. He's the best.Posted on Carol GreenTrustindex verifies that the original source of the review is Google. The receptionists are very courteous. Appointments are always on time. Dr. Hwang answers all questions and explains things to you.Posted on Virginia WilliamsTrustindex verifies that the original source of the review is Google. Always good service. Dr. Gupta is first rate.


